Le Dr Alexandre BRUN s’est équipé du Stellar M22™ de Lumenis, une plateforme laser de dernière génération permettant de traiter de nombreuses imperfections cutanées, avec des résultats visibles et naturels.
✨ Une technologie, plusieurs solutions
Le Stellar M22™ associe plusieurs modules laser et lumière pulsée (IPL, ResurFX™, Nd:YAG) pour s’adapter à chaque peau et chaque indication.
Il permet de traiter notamment la couperose, les taches, l’acné, les vergetures et les cicatrices avec précision, sécurité et confort.
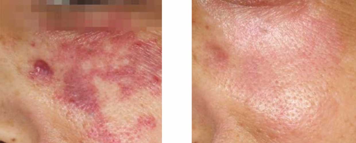
Couperose et rougeurs du visage
La lumière pulsée (IPL) cible les petits vaisseaux responsables des rougeurs et de la couperose.
👉 Le traitement atténue visiblement les rougeurs, unifie le teint et redonne éclat et fraîcheur au visage.
Zones concernées : joues, ailes du nez, menton, front.
Résultat : une peau plus homogène, plus lumineuse, sans rougeurs permanentes.







Taches pigmentaires et taches solaires
Le laser agit sur la mélanine responsable des lentigos et taches brunes dues au soleil ou à l’âge.
👉 Les taches s’estompent progressivement pour laisser place à un teint uniforme et lumineux.
Zones concernées : visage, décolleté, mains.
Résultat : un teint éclairci, plus uniforme, une peau rajeunie.





Acné et marques résiduelles
Grâce à un filtre spécifique, le traitement par lumière pulsée agit sur la bactérie responsable de l’acné (Propionibacterium acnes) et réduit l’inflammation cutanée.
👉 La peau devient plus nette, les boutons diminuent et les marques s’atténuent.
Indiqué pour : acné légère à modérée, peau mixte à grasse.
Résultat : une peau apaisée, lissée, moins sujette aux poussées inflammatoires.
Vergetures
Le laser ResurFX™ stimule la production de collagène et d’élastine pour améliorer la texture de la peau et atténuer les vergetures, qu’elles soient rouges ou blanches.
👉 La peau retrouve une apparence plus lisse et plus homogène.
Zones traitées : ventre, cuisses, fesses, hanches, seins.
Résultat : vergetures visiblement estompées, peau plus ferme et souple.


Cicatrices (acné, chirurgie, brûlure)
Le module ResurFX™ permet de remodeler la peau en profondeur sans l’abîmer en surface.
👉 Il atténue les irrégularités, lisse la peau et améliore la coloration des cicatrices.
Indiqué pour : cicatrices d’acné, chirurgicales ou post-traumatiques.
Résultat : cicatrices plus discrètes, peau plus uniforme et douce.


Un traitement sûr et progressif
- Traitements non invasifs et peu douloureux
- Peu d’éviction sociale : reprise rapide des activités
- Résultats progressifs et naturels au fil des séances
📅 Un protocole de plusieurs séances est souvent nécessaire, selon le type de peau et l’indication.
